মাত্র এক ডোজ পরীক্ষামূলক ওষুধ প্রয়োগের পর এক নারীর মস্তিষ্কে থাকা মারাত্মক টিউমার মাত্র পাঁচ দিনের মধ্যেই প্রায় সম্পূর্ণ অদৃশ্য হয়ে গেছে! যুক্তরাষ্ট্রের ম্যাসাচুসেটস জেনারেল ক্যান্সার সেন্টারে পরিচালিত এক যুগান্তকারী ক্লিনিক্যাল ট্রায়ালে এই চমকপ্রদ সাফল্য অর্জিত হয়েছে।
বিজ্ঞানীরা বলছেন, এটি মস্তিষ্কের ক্যানসার চিকিৎসায় এক “টার্নিং পয়েন্ট” হতে পারে। পরীক্ষায় ব্যবহৃত নতুন ধরনের CAR-T সেল ইমিউনোথেরাপি রোগীর নিজস্ব প্রতিরোধ কোষকে পুনঃপ্রোগ্রাম করে টিউমার কোষ শনাক্ত ও ধ্বংস করতে সক্ষম করে।
প্রচলিত চিকিৎসার তুলনায় এই থেরাপির বিশেষত্ব হলো — এটি একাধিক টিউমার মার্কার একসাথে টার্গেট করে, ফলে ক্যানসার কোষ শনাক্তকরণ থেকে পালিয়ে বাঁচতে পারে না। সাধারণত গ্লিওব্লাস্টোমা (glioblastoma) নামের এই মস্তিষ্কের ক্যানসার সবচেয়ে আক্রমণাত্মক ও চিকিৎসা-প্রতিরোধী রোগ হিসেবে পরিচিত।
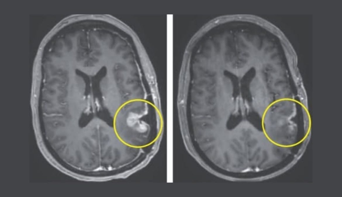
পরীক্ষার এক অবিশ্বাস্য ঘটনায় দেখা গেছে, এক রোগীর টিউমার ইনফিউশনের মাত্র পাঁচ দিনের মধ্যেই নাটকীয়ভাবে সঙ্কুচিত হয়ে প্রায় অদৃশ্য হয়ে যায়। আরেকজন রোগীর টিউমার ৬০ শতাংশ পর্যন্ত ছোট হয় এবং ছয় মাস পর্যন্ত স্থিতিশীল থাকে — যা সাধারণত কয়েক সপ্তাহের মধ্যেই আবার ফিরে আসে।
যদিও পরবর্তীতে টিউমার কিছুটা ফিরে এসেছে, গবেষকরা একে “অভূতপূর্ব প্রতিক্রিয়া” হিসেবে আখ্যা দিয়েছেন এবং বলছেন, এটি ভবিষ্যতে দীর্ঘস্থায়ী এমনকি সম্পূর্ণ নিরাময়যোগ্য থেরাপির পথ খুলে দিতে পারে।
বর্তমানে গবেষক দলটি এই চিকিৎসা আরও উন্নত করার পাশাপাশি, এর প্রভাবকে দীর্ঘমেয়াদে টিকিয়ে রাখার উপায় এবং অন্যান্য কঠিন টিউমারে প্রয়োগের সম্ভাবনা নিয়ে কাজ করছে।
এই ক্লিনিক্যাল ট্রায়ালটি চিকিৎসা বিজ্ঞানে এক আশাজাগানিয়া পদক্ষেপ, যা একসময়ে অনিরাময়যোগ্য বলে মনে করা গ্লিওব্লাস্টোমাকে হয়তো একদিন নিয়ন্ত্রণযোগ্য বা নিরাময়যোগ্য রোগে রূপান্তরিত করতে পারবে।
এনআর/
